Seu parceiro em diagnósticos de patologia, de forma eficiente e segura, preocupados, acima de tudo, com a saúde e bem-estar do Paciente.
Rua Riachuelo, 760 – Centro – Parnaíba, Piauí
(86) 3323-7082
Horário de Funcionamento:
Segunda a Sexta: 08h às 17:30h
Sábado: 08h às 12h.
Em Fevereiro de 1995, o Dr. João Bôsco decide fundar o Laboratório CEPACC na cidade de Parnaíba, no Piauí, surgindo assim o primeiro Laboratório de Anatomia Patológica do norte do Piauí.
Em Junho de 2021, com a ampliação do portfólio de exames disponibilizados à população da região, o Laboratório CEPACC evolui e nos tornamos o CENPAT, passando a ser mais do que apenas um Laboratório, um Centro de Patologia Cirúrgica e Citopatologia integrado.



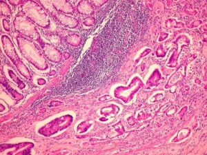
Exame utilizado para investigação de lesões, diagnóstico de doenças ou para estabelecer o estadiamento de tumores , a partir de estudos à macroscopia e ao microscópio de amostras de tecidos e órgãos.
Exame imprescindível para o correto diagnóstico de doenças, bem como para verificar se há ou não a presença de câncer no fragmento ou peça cirúrgica analisada.
Exame que pode detectar alterações da morfologia celular a partir do estudo ao microscópio de esfregaços celulares e líquidos corpóreos.
Quando se trata de análise de células do colo do útero, este exame também pode ser chamado de esfregaço cervicovaginal, de colpocitologia oncótica cervical ou simplesmente de “Papanicolaou”
Exame complementar de diagnóstico que visa reconhecer antígenos, identificando células específicas dentro de uma população celular, morfologicamente heterogênea ou aparentemente homogênea.
A biópsia consiste em um procedimento para a coleta de fragmentos de um determinado órgão ou tecido, visando a investigação de uma doença.
Uma vez coletado o material biológico, esse fragmento deve ser enviado para o laboratório de patologia para realização de um exame anatomopatológico.
Um exame anatomopatológico consiste em procedimento médico imprescindível para o diagnóstico de doenças ou para estabelecer o estadiamento de tumores, verificando se há ou não a presença de câncer no fragmento ou peça cirúrgica analisada, utilizando-se de técnicas histológicas e estudos realizados à macroscopia e ao microscópio.
Os principais tipos de materiais biológicos analisados por meio de exames anatomopatológicos no Cenpat são:
O médico patologista é o profissional de saúde que examina os fluidos e tecidos corporais e tem, entre suas atribuições, o diagnóstico do câncer, definindo se o tumor é benigno ou maligno, e qual o seu estágio.
Quando especialistas como oncologistas, ginecologistas, hematologistas e urologistas precisam de análises mais específicas de um nódulo de mama, um linfoma, uma lesão no colo do útero ou uma suspeita de câncer de próstata, por exemplo, é o patologista que estudará a biópsia ou a peça cirúrgica para realizar o diagnóstico preciso. Este diagnóstico compreende o exame macroscópico (feito a olho nu) e o exame microscópico.
A análise do exame de papanicolaou para prevenção do câncer de colo de útero também é responsabilidade do médico patologista, bem como o exame das células retiradas em punção aspirativa por agulha fina (PAAF) de nódulos de mama, tireoide e outros órgãos.
Todos os laudos emitidos pelo Cenpat são direcionados ao médico solicitante do exame.
Portanto, ao receber o seu exame, o Paciente deve agendar o retorno ao seu médico para a correta interpretação do laudo.Conteúdo a mostrar/esconder
A diferença consiste principalmente no tipo de material analisado.
Em um laboratório de patologia, o Patologista (Anatomia Patológica), por meio da análise de biópsias e citologias, emite laudos anatomopatológicos ou citopatológicos acerca do diagnóstico morfológico bem como prognóstico das mais variadas doenças.
Já em um laboratório de análises clínica, o Patologista Clínico, médico especialista em Medicina Laboratorial, por meio de exames de fluidos biológicos (Sangue, urina, fezes, etc), assessora o médico solicitante sob ponto de vista da prevenção, formulação de diagnósticos diferenciais, confirmação diagnóstica, tratamento, monitorização terapêutica, seguimento e prognóstico de doenças, estando, pois, em contato permanente com médicos das mais variadas especialidades.
Conforme Parecer 132/2015, a Sociedade Brasileira de Patologia considera que um laboratório de análises clínicas não pode receber material para exames anatomopatológicos, por não possuir estrutura operacional para esse tipo de exame e por não contar com diretor técnico com título de especialista em Patologia.
© Cenpat – Centro de Patologia Cirúrgica e Citopatologia
Todos os direitos reservados
Rua Riachuelo, 760 – Centro – Parnaíba, Piauí
Telefone: (86) 3323-7082